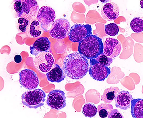
Cada 25 de octubre se conmemora el Día Mundial de los Síndromes Mielodisplásicos (SMD), con el propósito de visibilizar y concientizar sobre este grupo de enfermedades poco conocidas que afectan la médula ósea y la producción de células sanguíneas. Estas patologías, consideradas raras, alteran la formación normal de glóbulos rojos, blancos y plaquetas, generando síntomas como anemia, infecciones frecuentes y hemorragias, y en algunos casos pueden evolucionar hacia una leucemia mieloide aguda.
La fecha busca promover la detección temprana, el acceso a tratamientos adecuados y el apoyo a las personas diagnosticadas. Los SMD afectan principalmente a adultos mayores, aunque también pueden presentarse en personas jóvenes debido a factores genéticos, exposición a radiación o tratamientos previos con quimioterapia. La complejidad de su diagnóstico y el desconocimiento general hacen fundamental la difusión de información precisa y el fortalecimiento de los sistemas de salud en torno a esta enfermedad.
En este día, distintas organizaciones y profesionales de la salud impulsan campañas para difundir la importancia de los controles hematológicos y del acompañamiento integral de los pacientes. La investigación científica continúa siendo clave para mejorar los tratamientos, entre ellos los trasplantes de médula ósea y las terapias inmunomoduladoras, que permiten prolongar la vida y reducir las complicaciones.
Con esta conmemoración, se busca sensibilizar a la sociedad sobre la necesidad de apoyar a quienes conviven con los síndromes mielodisplásicos y de fomentar la donación de médula ósea, un gesto solidario que puede representar una oportunidad de vida para muchas personas.

